Hypomineralized Second Primary Molar (HSPM)

Définition

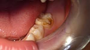
Il s’agit d’une hypo minéralisation touchant les 2nd molaires de laits (une ou plusieurs), caractérisées par la présence de tâches allant du blanc au brun (l’aspect d’un sucre mouillé). Il y a une distribution asymétrique des lésions.

Il existe une variabilité dans la sévérité et le nombre des dents atteintes (d’autres dents peuvent être atteintes aussi).

Les dents sont sensibles au chaud, froid, acide et sucre. Les enfants ont du mal à brosser car les pressions entrainent également des douleurs. Ce sont des dents plus résistantes à l’anesthésie dentaire.

Epidémiologie :

Les HSPMs, multiplie le risque carieux par 4 et touche 1 enfant / 15 (contre 1 enfant /7 pour les MIH).

Les HSPM représente un signe prédictif mais non systématique des MIH, il faudra être prudent à l’arrivée des 1ère molaires définitives.

Etiopathogénie
  • Pas encore établie, on suppose une origine multifactorielle
  • évoqués : maladie pendant la grossesse ou la 1ère année de vie de l’enfant, des accouchements prématurés,…
Diagnostic différentiel :
  • Amelogénèse imparfaite : défaut génétique touchant toutes les dents. On a une altération de l’émail modifiant son volume et sa forme
  • Fluorose : absorption de fluor au cours de la minéralisation, rare en France. Elle n’intéresse que les dents définitives avec des atteintes symétriques. Les tissus sont cario-résistants alors que les MIH/HSPM sont cario-susceptible.
  • Hypoplasie de l’émail : il s’agit là d’un défaut quantitatif partiel ou complet de l’émail. Les limites de l’émail sont lisses et régulières à la différence de la MIH/HSPM.
Prise en charge et thérapeutique

Il y a deux gradients :

Primaire : fluoration, utilisation de dentifrice avec du fluor (1000ppm jusqu’à 3 ans puis 1450ppm dès l’âge de 3 ans. Utilisation de pâte contenant des CCP-ACP (voir avec votre dentiste, Tooth mouth par exemple).

Secondaire : il s’agit des thérapeutiques

  • Enfant jeune ou moins coopérant : l’ART (atraumatique restorative treatment), l’utilisation de fluorure diamine d’argent (FDA)
  • Soins traditionnels de dentisteries avec divers matériaux type résine, CVI
  • Coiffe pédodontique
  • Avulsion

Ref : art Id plus du 22 FEV 23 (aurore barraco), these Dr denis Alice 2017,

Contact

Le secrétariat est joignable au 04 50 62 67 83

Merci de vous référer à la messagerie téléphonique et de privilégier les prises de rdvs par e-mail : ladentchouette@gmail.com

Tout RDV doit être décommandé au minimum 48h à l’avance.
Pour tout RDV manqué le patient ne pourra plus être suivi au cabinet.

Horaires Cabinet

Lundi, Mardi et mercredi 9h-17h45
Vendredi 9h-14h30

Déjà patient ?

Si vous êtes déjà patient du cabinet, vous pouvez prendre directement rendez-vous en ligne :