Questions fréquentes
Cliquez sur les flèches pour ouvrir ou fermer les blocs de réponse
Les dents de lait sont essentielles au bon développement de l’enfant.
Elles participent aux mêmes fonctions que les dents permanentes :
- sourire
- manger
- parler
La réalisation des soins permet d’éviter des douleurs importantes et des infections qui perturberont la croissance de votre enfant et auront un impact sur les dents définitives qui leur succèderont.
Enfin, les dents de lait permettent de maintenir l’espace nécessaire pour la bonne mise en place des dents définitives.
Les dents de lait : elles sont présentes au nombre de 20
| Dent | Quand sortent-elles ? |
Quand tombent-elles ? |
|
|---|---|---|---|
| Maxillaire (mâchoire supérieure) |
Incisive centrale |
7-12 mois |
6-8 ans |
| Incisives latérale |
9-13 mois |
7-8 ans |
|
| 1ère molaire | 13-19 mois |
9-11 ans |
|
| Canine | 16-22 mois |
10-12 ans |
|
| 2ème molaire | 25-33 mois |
10-12 ans |
|
| Mandibulaire (mâchoire inférieure) |
Incisive centrale |
6-10 mois |
6-8 ans |
| Incisives latérales |
7-16 mois |
7-8 ans |
|
| 1ère molaire | 12-18 mois |
9-11 mois |
|
| Canine | 16-23 mois |
10-12 ans |
|
| 2ème molaire |
30-31 mois |
10-12 ans |
Les dents permanentes :
Les premières dents permanentes apparaissent normalement vers l’âge de 6 ans. Il s’agit en général des premières molaires définitives, qui poussent en arrière des molaires de lait.
Il est recommandé par l’Association Américaine d’Odontologie Pédiatrique d’emmener votre enfant chez le dentiste dès l’apparition des 1ères dents.
Idéalement, la première consultation d’un enfant chez le dentiste se fait vers 3 ans. C’est un premier contact qui permet à l’enfant d’appréhender l’univers du cabinet dentaire dans de bonnes conditions. En effet, mieux vaut éviter que ce premier rendez-vous soit pris en urgence, à cause de douleurs ou suite à une chute.
Cette consultation a par ailleurs un rôle important : dépister et prévenir les caries précoces, dont les conséquences peuvent être dramatiques pour l’enfant.*
Découvrez nos conseils pour préparer la première consultation.
Les 2 principales causes des caries :
- les bactéries ont trop souvent à manger : grignotage et/ou boissons sucrées/acides
- les bactéries sont trop nombreuses : le brossage des dents n’est pas assez fréquent ou la méthode n’est pas efficace.
Le brossage
Dès leur apparition, les dents doivent être nettoyées.
Un brossage efficace et au minimum 2 fois par jour (après le petit déjeuner et après le diner) avec un dentifrice fluoré, sous la surveillance des parents, est nécessaire.
Une fois le brossage du soir réalisé, il ne faut plus rien mettre dans la bouche à part de l’eau nature.
L’implication de toute la famille est indispensable pour un meilleur résultat.
La méthode de brossage doit être adaptée en fonction de l’âge de votre enfant, et revue avec un chirurgien dentiste afin d’en garantir l’efficacité
Le dentifrice doit être adapté à l’âge de l’enfant et seule une petite noisette suffit sur la brosse à dent. La brosse à dent doit être adaptée à l’âge de votre enfant (site UFSBD), essayer de favoriser des têtes de brosse à dent les plus petites possible pour permettre une meilleure prise en main.
Retrouvez des fiches conseils sur le site de l’UFSBD.
Il est possible de contrôler l’efficacité du brossage par des colorants de plaque (sous contrôle parental) : demander conseil à votre dentiste.
L’alimentation
La bouche contient, de façon normale, des bactéries dès l’apparition des 1ères dents de lait.
A chaque fois qu’un aliment passe en bouche, les bactéries en mangent une partie et sécrètent de l’acide pendant 1 heure. Si ces périodes d’acidité sont trop fréquentes, certaines parties des dents se déminéralisent, les bactéries viennent s’y installer : c’est une carie.
Donc 1 prise alimentaire = 1 heure d’acidité
4 repas par jour = 4 heures d’acidité
4 repas, un verre de sirop et un petit gâteau = 6 heures d’acidité
Pour éviter les caries, il faut donc :
- Arrêter le grignotage : 4 repas par jour et ne rien manger entre (seule l’eau nature est autorisée)
- Boire de l’eau nature
- Pas de lait au coucher : dans le lait, il y a du lactose qui est un sucre, donc si l’enfant s’endort avec du lait dans la bouche, il présente un risque de développer des caries. Il s’agit du « syndrome du biberon »
Il faut également faire attention à certains médicaments comme les sirops, l’homéopathie et les traitements contre l’asthme : demander conseil à votre dentiste ou médecin…
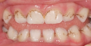
Les tâches noires sont des dépôts dans lesquels une bactérie est présente. Il s’agit d’une bactérie à pigment noir : Bacteroïde melaninogenicus. On l’appelle le «tartre juvénile».
Cette bactérie présente seulement un côté inesthétique, elle n’entraîne aucun risque et ne majore pas l’apparition de carie.
Il faut simplement :
- consulter votre dentiste afin de réaliser un nettoyage professionnel
- réaliser un nettoyage quotidien adapté aux dents de votre enfant
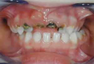
Nous rencontrons régulièrement cette situation au niveau de la mâchoire du bas. Lors d’un manque de place, les incisives inférieures sortent à l’intérieur sans que les dents de lait soient tombées.
Soit les dents de lait finissent par tomber quelques mois plus tard, soit on les extrait car l’enfant se plaint d’une gêne, voire d’une douleur. Puis grâce à la poussée de la langue et la croissance naturelle elles reprennent petit à petit leur place.
Si les dents de lait restent plus de 6 mois : consulter votre dentiste.
La succion du pouce, du doigt ou de la tétine est un phénomène fréquent chez le jeune enfant. Il ne pose pas de réel problème avant 3 ans.
Pourquoi arrêter le pouce ?
Sous la pression du pouce la croissance des mâchoires est défavorable et le risque est une malposition ou une malocclusion des dents définitives lors de leur apparition. Il faut dès que possible tenter d’arrêter toute succion.
Le dentiste pédiatrique peut encourager votre enfant dans ce sens. Ses recommandations ainsi que votre détermination aident la plupart des enfants à facilement arrêter la succion.
Chaque enfant est différent, il n’y a pas de méthode spécifique, le dialogue reste la meilleure des solutions.
Si toutefois cette approche n’est pas efficace, nous pouvons recommander un appareil dentaire empêchant la succion.
Il existe aujourd’hui plusieurs méthodes pour aider les enfants anxieux à mieux se sentir chez le dentiste pédiatrique.
Souvent ces enfants ont eu auparavant des mauvaises expériences.
Vous pouvez préparer sa venue à l’aide de supports que vous pouvez trouver dans les livres de votre enfant (ils sont de plus en plus nombreux), sur des sites tel que l’UFSDB, Sparadrap, etc. Les supports doivent rester compréhensibles et adaptés à leur âge.
Le dentiste pédiatrique peut, après la première consultation, orienter les parents et l’enfant vers la méthode de traitement la plus adaptée.
La motivation se montre dans la plupart des cas très efficace, cependant parfois une sédation consciente avec le MEOPA, le gaz «hilarant», un sédatif sûr, quasi sans effets indésirables, calme très efficacement l’anxiété de l’enfant.
Retrouvez nos conseils pour préparer la visite de votre enfant sur la page « Première consultation » et la page « Votre rôle de parent » et plus d’informations sur le MEOPA sur la page « Gestion de l’anxiété ».
Le fluor occupe une place majeure dans la prévention bucco-dentaire.
Le fluor est présent dans les dentifrices, certaines eaux embouteillées, certains sels et apports complémentaires comme les gouttes et comprimés.
Le fluor est très bénéfique :
Il stabilise et renforce l’émail des dents pendant et après leur minéralisation, il diminue fortement le risque de caries.
Cependant un excès de fluor, toutes origines confondues (ingestion de dentifrice fluoré en quantité et régulièrement, surdosage de gouttes ou de comprimés fluorés, autres apports fluorés non détectés par un bilan fluoré) est nuisible, il augmente le risque de Fluorose.
La pose d’un vernis fluoré par le dentiste a une action reminéralisante et donc protectrice. Elle n’entraîne pas de fluorose (action locale).
Retrouvez plus d’information sur la page « Prévention et prophylaxie ».